中亚是丝绸之路经济带中国境外首站,是中国与周边互联互通的最主要合作伙伴之一,是“一带一路”向西延伸的必经之路。乌兹别克斯坦作为中亚人口大国,同时也是亚洲有名的“美女之国”,正处于“一带一路”的核心区域,其自古就是丝绸之路上的枢纽,地缘政治地位十分重要。自1992年1月2日与中国建交以来,双方在经贸、投资、交通、通信、能源和非资源领域合作成果丰硕。
奥泰医疗作为中国超导MR领军企业,在国家“一带一路”的号召下,勇敢开拓了丝绸之路国家市场,经过数月努力,成功完成了乌兹别克斯坦装机,在丝绸之路上继土耳其之后又一次成功地将高端MRI服务于“一带一路”民众健康。
奥泰医疗在乌兹别克斯坦的装机位于该国西北部,阿姆河左岸谷地,沙瓦特运河畔的乌尔根奇,这里曾是丝绸之路上伟大的城市之一,现在是花拉子模州首府和工业中心。在这座城市里,有著名的遗迹T rebeg Hanym Mausoleum和Gutluk-Temir Minaret,吸引了无数对亚洲历史和伊斯兰建筑感兴趣的游客们前来游览。

奥泰医疗EchoStar 1.5T MRI装机在乌尔根奇的影像中心NANO DIAGNOSTICS,从订单到生产、运输、发货直至完成装机,整个过程历时90天,然而正是这短短的90天,对奥泰医疗工程师却是一场严苛的历练。
由于当地供电不稳定,平均每天停电2-3次,这对于超导磁共振而言无疑是可怕的灾难。液氦加速挥发、无法测试扫描等问题,影响的不仅是设备的寿命,更是客户的效益。好在这一切可能发生的问题在奥泰医疗工程师制定装机方案时就已提前做好预案,为客户定制出完美的解决方案。
与以往国外装机不同的是,为了确保本次装机的顺利进行以及客户未来使用的稳定度,本次发货除了MRI设备还连同发出了多重智能保护UPS不间断电源和为客户量身定制的高品质发电机,可根据现场供电情况全程自动切换,以规避断电的问题,加之奥泰医疗MRI具有的72小时断电保护专利技术,多重保障,为客户轻松解决现场供电问题。

经过短暂的培训,NANO DIAGNOSTICS影像中心已于2015年8月25日正式投入临床使用,由于奥泰医疗MRI操作智能,易于上手,开业第一天影像中心就接待了10多个病人部位扫描。截至目前,该影像中心已经开展了几乎所有MRI部位扫描,包括神经系统,骨关节系统、腹部等磁共振适应症。影像中心的医生和院长对奥泰MRI优异的图像质量和成像速度非常满意,医生非常高兴地告诉奥泰医疗临床培训专家:“不到一个月,我们就已把每天的MRI扫描量提高到50个部位,我相信它会有更好的表现。感谢你们和你们的产品,非常棒!”
NANO DIAGNOSTICS的院长对奥泰医疗工作人员专业的工作态度和表现给予很高的评价:“奥泰医疗从运输、装机到培训每一个环节都处处体现了专业。我敢肯定,不到一年我们就能收回投资。我相信EchoStar将会给我院带来丰厚的回报,也相信奥泰医疗能在乌兹别克斯坦赢得更多订单和销售。”
NANO DIAGNOSTICS
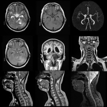
奥泰医疗1.5T MRI 图像质量反馈

头部和颈椎图像

腰椎和髋关节图像

腹部骨关节图像